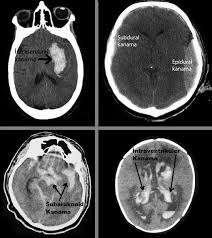
Subdural Kanama Nedir?
Subdural hematom, beynin yüzeyinde, duramater adı verilen koruyucu zarın hemen altında meydana gelen bir kan pıhtısıdır. Subdural kanamada, kan sızıntısı genellikle toplardamardan kaynaklanır ve yavaş ilerler, dolayısıyla belirtilerin ortaya çıkması bazen günler hatta haftalar alabilir. (Epidural kanamada, sızıntı bir atardamardan kaynaklanır, dolayısıyla belirtiler hızlı bir şekilde gelişir.)Ancak bazen çok kısa sürede büyük boyutlara ulaşan subdural kanamalar acil bir şekilde teşhis ve tedavi edilmezse, ölüm söz konusu olabilir.
Subdural Kanamanın Tanısı Nasıl Konur?
Kafa travması gibi acil durumlarda Bilgisayarlı tomografi ile tanısı konulurken geç belirti veren kronik subdural hematomlarda manyetik rezonans (MR) ile tanısı konulur.
Subdural Kanamanın Tedavisi Nasıldır?
Küçük boyuttaki subdural kanamalar vücudunuz tarafından tedrici bir şekilde absorbe edilir ve ameliyat gerektirmez. Ancak çoğunlukla ameliyat gerekebilir.Daha büyük hematomlar ve pıhtılaşmış kandan oluşanlar, kafata¬sının bir bölümünün açılması suretiyle çıkartılabilir.İyileşme dönemi boyunca ilk 6 ay içinde, amnezi yani hafıza kaybı, anksiyete ve baş ağrıları yaşanabilir.
Subdural Kanamada Belirtiler Nedir?
Uykulu olma, kafa karışıklığı, şaşkınlık, vücudun bir yanında kısmi felç, dengesizlik, bulantı, sürekli veya iniş çıkışlı baş ağrıları dahil görülebilir. Subdural kanama, yaralanmadan hemen sonra (akut) oluşabilir ya da yavaş yavaş (kronik) gelişebilir.
Akut subdural kanamanın temel belirtisi, baş yaralanmasından sonra hızla azalan bilinç düzeyi ve yaranın bulunduğu taraftaki gözbebeğinin genişlemesidir. Bu durum, kanamanın boşaltılması için acil ameliyat gerekir.

Subdural Kanamanın Tedavisi Nasıl Yapılır?
Küçük boyutlardaki subdural kanamalar takip edilirken büyük olanları acil olarak ameliyat edilir.Kanama sıvısı boşaltılır ve çevresindeki beyin dokusunun yeniden eski şekline gelebilmesi için önlem alınır.