Omurga Kanal Daralması Nedir?
Bel omurgası omur adı verilen ,bir dizi birbirine bağlı kemiklerden oluşur. Kemikler, içerisinde omuriliğin bulunduğu, omurlar arasında seyreden spinal kanalı çevreler. Omurlar arasındaki intervertebral diskler, faset eklemler ve bağ dokular (ligamentum flavum) spinal kanalı çevreleyen diğer yapılardır.
İlerleyen yaşla, omurlar arasındaki diskler süngerimsi yapılarını kaybederek daha az su içermeye başlar. Bu olay disk yüksekliğinin azalmasına ve sertleşen diskin spinal kanala doğru bombeleşmesine sebep olur.
Omuriliğin ve her seviyede ondan çıkarak her iki bacağa giden sinirlerin üstünü örten ,onları dış etkilerden koruyan ligamentum flavum adı verilen bağ dokusu mevcuttur. Bu bağ dokusu ilerleyen yaş veya kemik erimesine bağlı kireçlenmenin artması sonucu kalınlaşır ve sertleşir. Sertleşen ligmentum flavum omuriliği sıkıştırarak bası oluşturur. Bütün bu değişiklikler, bel bölgesindeki spinal kanalın daralmasına neden olur.Bu durum “spinal stenoz” ya da ‘dar kanal’ olarak adlandırılır.
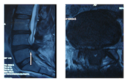
Lomber MR tetkikinde L4-5 mesafesinde fıtık,ligamantum flavum ve faset eklem büyümesine bağlı omurga kanalındaki daralma nedeniyle içinden geçen omurilik ve sinirlerin sıkışmış olduğu görülmektedir.
Omurga; insanın dik durmasını sağlayan kemik doku olmasının yanı sıra aynı zamanda tüm sinir sistemini ve omuriliği barındıran bir yapı olması ile de büyük önem taşımaktadır. Omurilik; insanda beyin ile uzuvlar arasındaki iletişimi sağlayan önemi bir yapıdır.
Omurgada bazı kişilerde çeşitli nedenler ile farklı problemler yaşanabilmektedir. Bu problemler arasında en sık görüleni ise omurga kanal daralmasıdır. Omurga kanal daralması omurilik ve sinirlerin geçtiği kanalın doğumsal nedenler ya da travmatik olaylar sonucunda daralması ve bunlar sonucunda da sinirlere baskı uygulanması anlamına gelmektedir. Boyun ile bel arasında sırt bölgesinde bulunan omurga yapısında omurga kanal daralması problemi yaşanması sonucunda genellikle başlıca belirtiler; boyun ya da bel ağrıları olmaktadır. Ancak boyun ya da bel ağrıları; fıtık probleminin de başlıca belirtisi olabileceği için ayrıntılı muayene kesin tanı için oldukça önemlidir.
Omurga kanal daralması; vücut ağırlığının büyük bölümünü taşıması sebebi ile genellikle bel omurlarında görülmektedir.
Bu bölgedeki sinirlere uygulanan baskı ile kol ve bacaklarda his kaybı ya da ağrı gibi günlük yaşamı önemli derecede etkileyen şikayetler açığa çıkmaktadır.
Omurga Kanal Daralması Neden Oluşur?
Doğuştan meydana gelen omurga daralması yapısal bozukluk ile ilgilidir ancak daha sonra meydana gelen omurga kanal daralmasının nedenleri daha çok egzersiz yapmama ve hareketsizlik sonucu ortaya çıkmaktadır.

Bu nedenlere ek olarak ağır işlerde çalışmak, fazla kilo almak, artrit, skolyoz, bel fıtığı, sigara kullanımı, yaşa bağlı olarak meydana gelen omurilik kireçlenmeleri ve genetik faktörler bu rahatsızlığı tetikleyici unsurlardır. En çok 45-50 yaşlarından sonra görülmeye başlayan omurga kanal daralması erken teşhis edilerek tedavi edilmezse hastayı yatağa bağlayabilen bir hastalıktır. Doğuştan omurilik kanal daralması problemi ile yaşayan hastalarda bulgular daha çok 30-40 yaşlarından sonra meydana gelecektir.

Omurga Kanal Daralması Belirtileri
Daralma omurganın tamamında meydana gelebileceği gibi boyun ve özellikle bel bölgelerinde de meydana gelebilmektedir. Karşılaşılan vakalar çoğunlukla bel bölgesinde meydana gelen daralmalardır. Boyun bölgesinde meydana gelen daralmalar omurilikte hasar oluşmasına ve buna bağlı olarak hastanın denge problemi yaşamasına neden olabilmektedir. Bel bölgesinde meydana gelen daralmalar, bel ağrısı başta olmak üzere bacak ağrısı, bacaklarda uyuşukluk ve güç kaybına sebep olabilmektedir. Standart bacak ağrılarına göre daralma sebebi ile yaşanan ağrılar kalçadan başlayarak diz bölgesine kadar yayılmaktadır. Bazı vakalarda tüm bacakta ağrı hissedilebilmektedir. Ağrılar fazla ayakta durunca veya yürüme ile de şiddetini arttırabilmektedir. Aynı şekilde oturmak, çömelmek veya yatmak gibi aktiviteler ağrı şiddetinde artan bir değişikliğe sebep olabilmektedir.
Omurilik kanal daralması belirtileri ile ilgili vermemiz gereken detaylardan biri de omurilik kanal çapı genişlediği için genellikle hastaların öne eğilerek yürüme eğilimi göstermeleridir. Yürüme mesafeleri kısalmaktadır.
İlerleyen vakalarda sakral kök tutulmasına bağlı olarak idrarı tutamama durumları ortaya çıkabilmektedir. Son olarak boyunda meydana gelen daralmaya bağlı olarak her iki kolda ağrı, güçsüzlük, uyuşma meydana gelebilmektedir. Yine ilerlemiş vakalarda omuriliğe yapılan baskıyı oluşturan daralma sonucu meydana gelen denge kaybı hastalık tedavi edilse dahi iyileşme gözlemlenememektedir. Bu nedenle ertelemeden uzman doktora başvurulması gerekmektedir.
Tedavi Süreci
Manyetik rezonans görüntüleme (MRG) ile omurilik sinirlerinin daralmaya bağlı olarak baskı altında olup olmadığı anlaşılmaktadır. Bilgisayarlı tomografi yöntemi ile de omurga kanal daralması teşhis edilebilmektedir. Kesin tanı konduktan sonra tedavi süreci başlatılmaktadır. Vakanın ileri boyutta olup olmamasına göre hekim tarafından birbirinden farklı omurga kanal daralması tedavisi ile ilgili yöntemler geliştirilerek uygulanmaktadır.
Başlangıç aşamasındaki vakalarda bel kaslarını güçlendirici egzersizler hastaya hekim tarafından önerilerek dahası fizik tedavi yöntemi önerilebilmektedir. Bel ve çevresindeki kaslar egzersiz yardımı ile güçlendirilerek vücutta doğal bir korse oluşturulmaktadır. Eğer vaka fizik tedavi ve egzersizler ile çözülebilecek boyutta değilse ilaç yardımı alınmaktadır. Omurilik zarı çevresine enjeksiyonlar yapılarak omurilik kanal daralmasının neden olduğu özellikle ağrı semptomları hafifletilmeye çalışılmaktadır. Ancak bu enjeksiyonlar genellikle hastanın yaşam kalitesini 3 aya kadar arttırabilir sonrasında aynı problemler ile karşılaşılması durumunda geriye kalan tek çare cerrahi operasyondur.
Cerrahi tedavi en etkili tedavi yöntemidir. Ameliyat yolu ile sorunun kaynağına direkt olarak temas edilerek problem ortadan kaldırılmaya çalışılmaktadır. Lomber dekompresyon adı verilen operasyon ile erkek hastalarda daha çok L4 ve L5 üzerine yapılmış olan baskı kaldırılarak hasta rahatlatılmaktadır.
Omurga Kanal Daralması Ameliyatı Sonrası Dönem
Hastalar genellikle ameliyat günü ayağa kalkarlar ve takip eden 2-3 gün içinde taburcu edilirler. Ameliyat sonrası aşamalar şu şekildedir;
- Hasta ilk haftayı evinde geçireceğinden omurga merkezi fizyoterapi bölümü uzmanlarınca öğretilecek olan egzersizleri doğru bir şekilde belirtilen periyotlarla yapmalıdır.
- İlk haftadan sonra hastalar tedavi sürecinin başarılı bir şekilde ilerlemesi için omurga merkezi fizyoterapistlerinin uyguladığı gövde kök kaslarının geliştirilmesi amacı ile uygulanan egzersiz programına katılmalılar.
- Hastalar ikinci haftadan itibaren dışarı çıkabilir belirtilen egzersizleri belirtilen periyotlarla açık havada dahi yapabilirler.
Ameliyat sonrası dönem tedavinin başarılı bir şeklide meydana gelmesi ve ameliyat sonrası ortaya çıkabilecek semptomların önüne geçilmesi için iyi değerlendirilmesi gereken bir dönemdir. Omurga kanal daralması ameliyatı sonrası hastalar uzunca bir süre ağır eşyalar kaldırmamalı, daha çok istirahat ederek daha az omurgayı zorlayıcı ağır iş aktivitelerine katılmalıdır.